Evydent Dentistry | Kids, Digital Dentistry and Braces and Clear Aligners

smile gallery

Welcome to our Interactive Smile Gallery! To view our before and afters, simply click and hold the arrows in the middle of an image, and drag to reveal the transformation!

Dentist near Norwood Dentist near Norwood
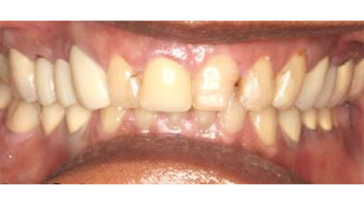
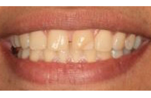
clear aligner therapy
Dentist in Inwood Dental Office in Norwood
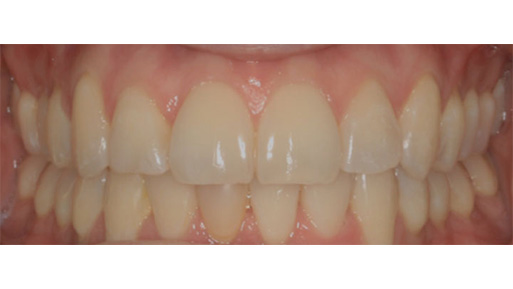
clear aligner therapy
Dentist in Inwood Cosmetic Dentist Inwood
clear aligner therapy
Cosmetic Dentist Inwood Dentist near Norwood
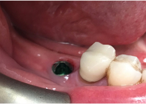
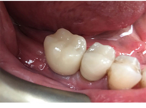
the two-step implant process
Dentist in Inwood Family Dentist in Manhattan
whitening Results
Cosmetic Dental Office in Manhattan Cosmetic Dental Office in Manhattan
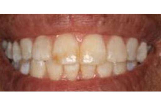
teeth stains removed
Dentist Manhattan Cosmetic Dentist Inwood
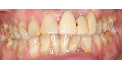
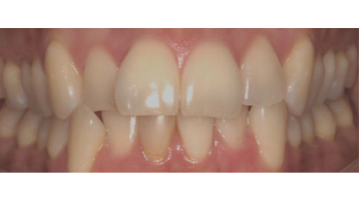
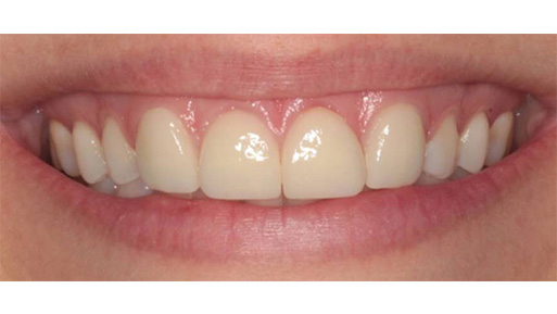
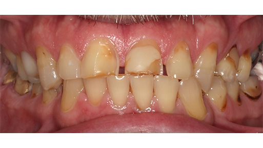
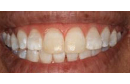
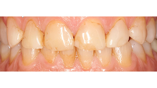
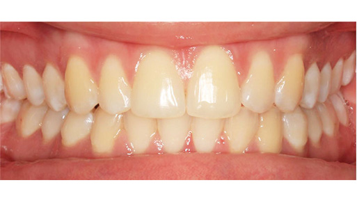
results achieved with Veneers
Dentist Manhattan Family Dentist in Manhattan
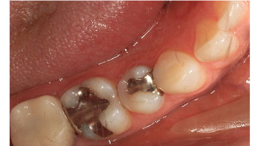
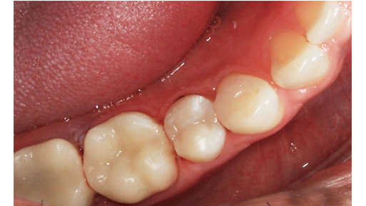
silver fillings replaced with tooth-covered fillings
Cosmetic Dentist Inwood Dental Office in Norwood
Dentist Manhattan Kids Dentist Norwood
Cosmetic Dental Office in Manhattan Dental Office in Norwood
Dentist Manhattan Dental Office in Norwood
Dentist Manhattan Kids Dentist Norwood
Family Dentist in Manhattan Dental Office in Norwood
Family Dentist in Manhattan Kids Dentist Norwood
Dentist in Inwood Kids Dentist Norwood
Cosmetic Dental Office in Manhattan Cosmetic Dentist Inwood
Cosmetic Dental Office in Manhattan Dentist near Norwood
Dentist in Inwood Family Dentist in Manhattan